enflasyonemeklilikötvdövizakpchpmhp
DOLAR
45,1488
EURO
53,0107
ALTIN
6.720,53
BIST
14.442,56
Adana Adıyaman Afyon Ağrı Aksaray Amasya Ankara Antalya Ardahan Artvin Aydın Balıkesir Bartın Batman Bayburt Bilecik Bingöl Bitlis Bolu Burdur Bursa Çanakkale Çankırı Çorum Denizli Diyarbakır Düzce Edirne Elazığ Erzincan Erzurum Eskişehir Gaziantep Giresun Gümüşhane Hakkari Hatay Iğdır Isparta İstanbul İzmir K.Maraş Karabük Karaman Kars Kastamonu Kayseri Kırıkkale Kırklareli Kırşehir Kilis Kocaeli Konya Kütahya Malatya Manisa Mardin Mersin Muğla Muş Nevşehir Niğde Ordu Osmaniye Rize Sakarya Samsun Siirt Sinop Sivas Şanlıurfa Şırnak Tekirdağ Tokat Trabzon Tunceli Uşak Van Yalova Yozgat Zonguldak
İstanbul
Hafif Yağmurlu
11°C
İstanbul
11°C
Hafif Yağmurlu
Cumartesi Hafif Yağmurlu
13°C
Pazar Hafif Yağmurlu
12°C
Pazartesi Çok Bulutlu
15°C
Salı Az Bulutlu
17°C

Mutfaktaki basit bir hata sonucu beynini kurtlar sardı

Mutfaktaki basit bir hata sonucu beynini kurtlar sardı
Advert
14.03.2025 12:14
9
A+
A-

Çin’de altmış yaşlarında bir kadın, üç gündür devam eden yüksek ateş ve ağır bilinç kaybıyla hastaneye kaldırıldı. Kadın o kadar kötü durumdaydı ki ne konuşabiliyor ne de etrafındakileri algılayabiliyordu.

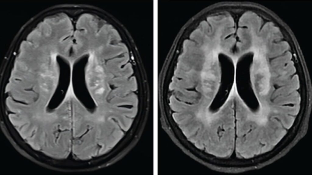
Doktorlar ilk olarak menenjitten şüphelendi. Yapılan MR taramasında beyninde çok sayıda lezyon görüldü ve bu da enfeksiyon olasılığını artırdı. Ancak iki hafta süren antibiyotik tedavisine rağmen hastanın durumu kötüleşmeye devam etti.

Yapılan ileri tetkikler sonucunda kadının bağışıklık sisteminin aşırı miktarda eozinofil (bir tür beyaz kan hücresi) ürettiği anlaşıldı. Bu durum, paraziter bir enfeksiyona işaret ediyordu.

Detaylı incelemeler, hastanın rahatsızlanmadan önce tatlı su kereviti (crayfish) yediğini ortaya çıkardı. Bu bilgi, doktorları Angiostrongylus cantonensis adlı tehlikeli bir parazit kurt türünden şüphelenmeye yöneltti. Bu parazit, iyi pişmemiş deniz ürünlerinden bulaşır ve beyne yerleşerek eozinofilik menenjite, yani parazitlerin neden olduğu bir tür beyin iltihabına yol açabilir.

Hastaya hemen antiparaziter ilaç olan albendazol verildi. İki hafta içinde konuşma yetisini geri kazanan hastanın sağlığı hızla düzelmeye başladı. Dört ay sonraki kontrollerde, beyindeki lezyonların büyük ölçüde küçüldüğü ve hastanın neredeyse tamamen iyileştiği gözlemlendi.

Yorumlar

Henüz yorum yapılmamış. İlk yorumu yukarıdaki form aracılığıyla siz yapabilirsiniz.