enflasyonemeklilikötvdövizakpchpmhp
DOLAR
45,7362
EURO
53,0373
ALTIN
6.630,84
BIST
13.808,20
Adana Adıyaman Afyon Ağrı Aksaray Amasya Ankara Antalya Ardahan Artvin Aydın Balıkesir Bartın Batman Bayburt Bilecik Bingöl Bitlis Bolu Burdur Bursa Çanakkale Çankırı Çorum Denizli Diyarbakır Düzce Edirne Elazığ Erzincan Erzurum Eskişehir Gaziantep Giresun Gümüşhane Hakkari Hatay Iğdır Isparta İstanbul İzmir K.Maraş Karabük Karaman Kars Kastamonu Kayseri Kırıkkale Kırklareli Kırşehir Kilis Kocaeli Konya Kütahya Malatya Manisa Mardin Mersin Muğla Muş Nevşehir Niğde Ordu Osmaniye Rize Sakarya Samsun Siirt Sinop Sivas Şanlıurfa Şırnak Tekirdağ Tokat Trabzon Tunceli Uşak Van Yalova Yozgat Zonguldak
İstanbul
Hafif Yağmurlu
20°C
İstanbul
20°C
Hafif Yağmurlu
Pazartesi Az Bulutlu
24°C
Salı Çok Bulutlu
24°C
Çarşamba Açık
27°C
Perşembe Hafif Yağmurlu
23°C

Çarpıcı araştırma: Hafif sarsıntı bile beyne zararlı

Çarpıcı araştırma: Hafif sarsıntı bile beyne zararlı
Advert
24.08.2024 11:24
22
A+
A-

Başlık: Hafif Beyin Sarsıntısının Gizli Etkileri

Giriş:
Son araştırmalar, hafif beyin sarsıntılarının bile ciddi değişikliklere yol açabileceğini ortaya koydu.

Yöntemler:
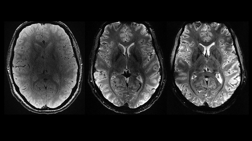
İngiltere merkezli araştırmacılar, 40-59 yaş arası 600’den fazla yetişkinle görüştü. Katılımcıların geçmişte travmatik beyin hasarı öyküsü olup olmadığı, manyetik rezonans görüntüleme (MRI) ile analiz edildi ve biliş, uyku, depresyon, yürüme ve kalp hastalığı riskleri değerlendirildi.

Bulgular:
Erkeklerin neredeyse yarısı, kadınların ise yaklaşık %30’u en az bir beyin sarsıntısı geçirmişti. MRI’lar, beyin sarsıntısı öyküsü olanlarda beyin kan damarlarında değişikliklerin olduğunu gösterdi. Beyin sarsıntılarının uyku sorunları, yürüme bozuklukları, depresyon belirtileri ve hafif hafıza sorunlarıyla bağlantılı olduğu ortaya çıktı.

Sonuç:
Beyin sarsıntısı, uyku bozukluğu ve depresyonun ana nedenidir. Bu nedenle, beyin sarsıntısı geçmişi olan kişiler için güvenlik önlemleri almak hayati önem taşımaktadır.

Yorumlar

Henüz yorum yapılmamış. İlk yorumu yukarıdaki form aracılığıyla siz yapabilirsiniz.